Invisalign
At Keam Simone Dental Aesthetics, we believe that achieving a perfectly aligned smile should be as comfortable as it is life-changing. We are proud to offer Invisalign clear aligners, the…
Read More
3D Imaging
At Keam Simone Dental Aesthetics, we are proud to offer 3D Imaging as a new technology that is extremely beneficial for creating a three-dimensional view of your mouth without any…
Read More
IV Sedation
Here at Keam Simone Dental Aesthetics, we are proud to offer IV sedation. We all know someone who is afraid to go to the dentist. Some people feel a little…
Read More
Cosmetic Gum Sculpting
Many patients with what they call a “gummy smile” often believe their teeth are just short. However, the real issue is frequently excessive gum tissue covering the…
Read More
Implants
When you have missing teeth, an alternative solution to dentures is dental implants. While dentures are removable, dental implants provide permanent new teeth to restore your mouth’s…
Read More
Bridges
When your teeth are missing, it greatly affects your smile. At the same time, the missing tooth has the potential to negatively affect your oral hygiene because…
Read More
Inlay/Onlay Restorations
Here at Keam Simone Dental Aesthetics, we are proud to offer dental inlays and onlays for our patients. Dental inlays and onlays are considered a conservative method of treating damaged…
Read More
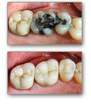
Crowns
Dental crowns are permanent prosthetics that cover a damaged tooth. A dentist might use them in place of a large filling or when a tooth is weak…
Read More
Bonding
Here at Keam Simone Dental Aesthetics, we are proud to offer dental bonding for our patients. Dental bonding is the procedure where we apply a tooth colored plastic material to…
Read More
Veneers
Veneers are thin shells intended to cover the front side of teeth to hide stains, chips, decay, or irregularities. A dental technician uses a model created by…
Read More
Whitening
One of the most common desires patients have is whiter teeth. When considering your options it is important to consult your dentist to make sure you have…
Read More